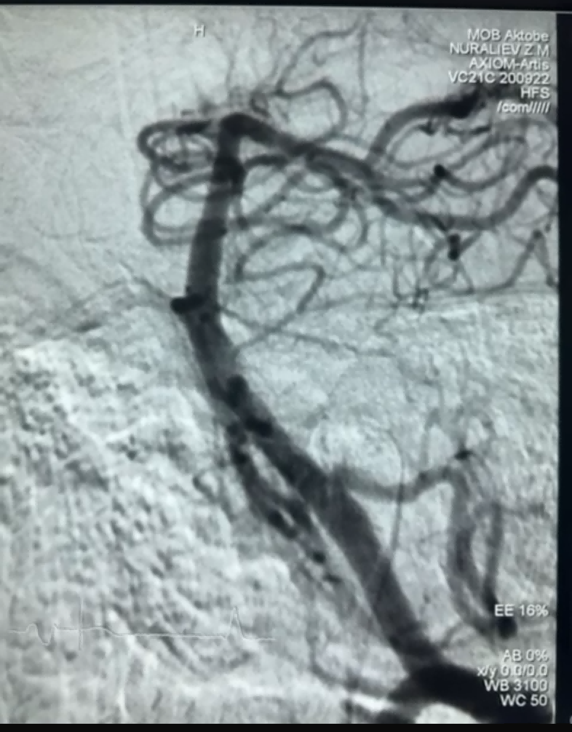
ล่าสุดมีเคสการทำ thrombectomy โดยใช้ Dredger Stent Retriever ของบริษัท NeuroSafe Medical Co., Ltd. สำเร็จ โดย Dredger Stent Retriever มีปลายอ่อนที่ไม่รุกราน ซึ่งช่วยลดความเสี่ยงต่อความเสียหายของเนื้อเยื่อชั้นในได้อย่างมาก และยังมีการออกแบบรูที่มีรูปร่างพิเศษเฉพาะตัว ซึ่งทำหน้าที่จับลิ่มเลือดโดยการหนีบการเปลี่ยนแปลงช่องว่างเป็นหลัก





